
Zenzao Smile Studio
Smile Design en Tijuana
Para realizar un Diseño de Sonrisa o Smile Design, debemos tener primero una primer entrevista para conocer tus expectativas, el número de dientes que necesitan tratamiento y el presupuesto asignado para tu diseño de sonrisa, en base a la selección de dos opciones:
Se realiza en resina/composite en 1 día. Te puedes realizar 6 dientes superiores (canino a canino) o 16 dientes, que conforman la sonrisa visible.
La resina o Composite es de los materiales más versátiles que existen, además cada vez existe más tecnología implementada en su elaboración.
Tiene una durabilidad de entre 5-10 años en condiciones normales, y puede aumentar en condiciones óptimas.
Se pueden manchar con el tiempo, por lo que necesita un mantenimiento o pulido cada año, y son fácilmente reparables y modificables.
Este proceso es más lento, se realiza tomando impresiones y haciendo un análisis más exhaustivo de tu sonrisa.
La cerámica tiene un módulo de elasticidad muy parecido al esmalte dental, no se manchan ni se les acaba el brillo, y duran más que las resinas, pero va a depender de cada caso en particular.
Si se llega a fracturar alguna zona pequeña se puede reparar con resina, pero si es más grande se debe de reemplazar toda la restauración.
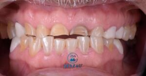
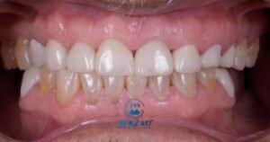
Pacientes Reales, Resultados Reales
Te invitamos a ver los resultados de pacientes que confiaron en Zenzao.
Tu transformación comienza aquí
¿Te podemos ayudar?
Entendemos que puedan haber ciertas dudas, por lo cual te compartimos las que más nos hacen. Si no encuentras aquí tu duda, no dudes en contactarnos.
El mejor material siempre va a ser la cerámica, ya que es más durable y más estética. Sin embargo, la resina/composite va a depender mucho de la habilidad del clínico que haga el trabajo. Como recomendación te diría que veas los trabajos de los Odontólogos que ofrecen este tipo de materiales para que puedas elegir si es lo que estás buscando.
La primera cita será una evaluación de tu caso, donde evaluaremos la forma, tamaño y posición de tus dientes para evaluar si eres candidato a un diseño de sonrisa. Si resultas candidato, se te realizará un presupuesto en base a tus necesidades y expectativas.
Definitivamente se pueden llegar a despegar bajo ciertas condiciones adversas. Es poco probable que suceda. Debido a que para pegar las carillas o coronas se requiere un protocolo adhesivo el cual consiste en la ausencia de humedad, desinfección de sustrato con clorhexidina, adhesivos con MDP, ácido grabador, cemento de resina polimerizable, etc. existe una probabilidad del 5% para que se llegue a despegar una corona o carilla.

Deja tu sonrisa en manos de los mejores
Queremos crear tu sonrisa de ensueño el dia de hoy
Una sonrisa impecable comienza con una valoración de calidad, precisa y profesional. Conociendo así el estado de tu dentadura y ajustando un plan que vaya de acuerdo a tus necesidades.





